速豹新闻网消息(记者 叶涛 苗露 通讯员 于雪松)仅在颅骨上开出一个2×2cm的“小窗口”,便在人体的最高指挥中心——颅脑内,为患者清除血肿。近日,世博高新医院神经外科的医生们用精巧的医疗技术,仅凭肉眼成功开展小骨窗颅内血肿清除手术,挽救了患者生命。

2022年新年第一天上午,一辆“120”救护车疾驰驶入世博高新医院,伴随着急促的脚步声,一场生命抢救站正式打响。
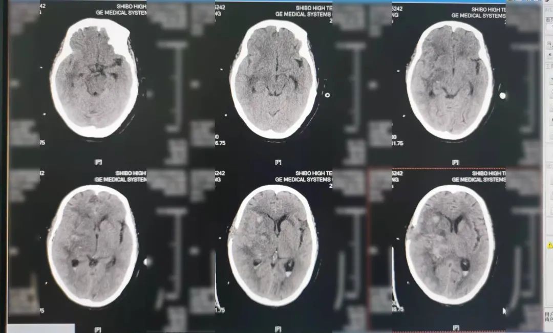
“付主任,一位急诊患者急需会诊!”接到紧急会诊电话后,神经外科付俊主任第一时间赶到急诊抢救室。经了解,患者71岁,半小时前突发意识不清伴左侧肢体活动受限,检查发现血压已高达235/125mmHg,右侧丘脑、右侧大脑半球出血破入脑室系统、蛛网膜下腔,血肿量约50ml,脑疝,病情危急!需及时行脑内血肿清除术,以缓解脑疝,抢救生命!

术前检查
认真分析影像学资料、快速制定手术方案,短短半小时,紧凑精心的术前准备工作便已完成。
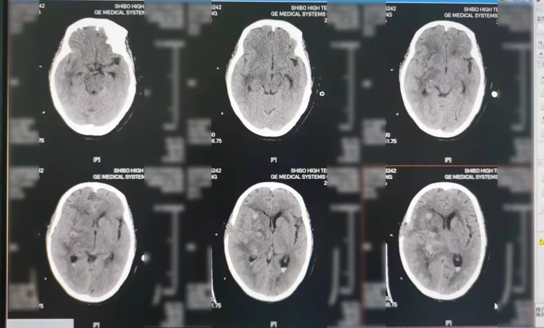
术中,付俊主任凭借丰富经验以及过硬技术,带领团队沉着应战,通过仅2厘米的骨窗将命悬一线的患者从“鬼门关”拉了回来。患者术后复查显示脑内血肿已完全清除,“确实没想到这种大手术能在一个多小时内完成,感谢神经外科团队!”看到复查结果后,患者家属激动不已。

术后复查影像
“近年来,微创理念深入人心。考虑患者年龄,我们最终决定通过小骨窗完成手术,以最小化创伤保证患者疗效最大化,减轻颅内感染风险,改善预后。”付俊主任介绍道。目前,经过神经外科医护人员细心治疗及护理,患者已于2月底康复出院。

术后14天患者复查,血肿基本吸收
“高血压性脑出血是一种致死和致残率很高的疾病,尤其现阶段天气没有完全转暖,高血压脑出血更易发生。若发现身边有人突然陷入昏迷,且平时有高血压病史,应考虑脑出血的可能,需第一时间拨打120,切勿随意搬动、摇动患者。”付俊主任提醒道。
神经外科在2022年第一天交出了一份满意的答卷,一年之计在于春,2022年神经外科将在“品质提升年”的带动下,在手术质量、手术级别、服务质量、患者满意度等全方面实现大幅提升,更好地为广大患者保驾护航,守护一方百姓的生命健康。
淄博频道责编:苗露