速豹新闻网淄博讯(记者 苗露 通讯员 于雪松)“医生、医生,快......快!”12月10日晚,一群人簇拥着轮椅上的病人冲进了世博高新医院急诊临床医学中心,轮椅上的病人意识不清,同时还伴有肢体抽搐。

抢救生命,不必等核酸结果
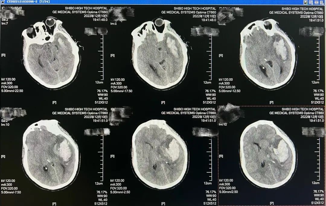
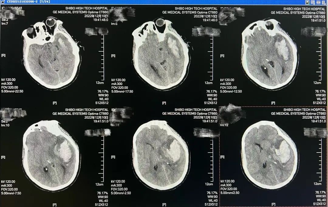
12月10日晚间,胡大娘(化名)在家中突发头痛、头晕,出现恶心、呕吐、意识不清、呼之不应,伴有肢体抽搐、小便失禁,被家属急送入世博高新医院急诊科。就地进行核酸采样后,患者被送入急诊CT室进行颅脑CT检查,结合影像结果确诊为左侧丘脑及左侧额颞顶部脑出血,破入脑室并形成脑疝。病情凶险,生命垂危,必须立即手术。

简单交代手术注意事项后,家属犹豫地说道:“我母亲好几天没做核酸了,还需要等核酸结果才能进行手术吗?”
“疫情防控非常重要,但作为医护人员,我们还是要争取在最快时间内开展治疗,毕竟守护患者的生命,是我们的职责所在。”刘永康副主任向家属表示。依照医院的疫情防控要求,医护人员迅速为患者开辟绿色通道,在医生陪同下顺利转运至重症监护科负压病房继续抢救。

阎敬武院长曾多次强调:不能以核酸检测结果未出作为急诊的先决条件,救死扶伤是现在疫情防控的首要任务!重患抢救,抢救优先。幸运的是,在经过多学科系列救治后,患者生命被成功救回,为后续的治疗和恢复提供了机会。
当突发情况来临,做出快速、有效的抢救措施,是对医护人员最大的考验。在疫情防控特殊时期下,卒中患者的救治仍是刻不容缓,必须保证急诊绿色通道的通畅。在这场生死抢救中,世博医护人员始终践行着“一切为了病人 生命只有一次 不惜一切代价 托起生命太阳”的世博理念。要知道,出血性脑卒中是一个等不得的疾病,病情进展迅速,容易出现神经功能异常,预后差、死亡率高,早期积极干预可降低死亡率,改善预后。

这次抢救胡大娘的生命接力赛能够如此顺畅,离不开医务人员的迅速反应、临危不乱、密切配合,也离不开相关制度化的规范安排。据悉,针对胡大娘这样的卒中病人,世博高新医院卒中中心早已进一步完善急诊脑卒中救治流程,为医生提供了紧急抢救的指南。通过多学科协作,才让一场“与时间赛跑”的卒中急诊救治获得成功,实现了防疫、卒中救治两不误。
健康科普:突发脑出血怎么办?
入冬后天气转凉、早晚温差大,脑出血患者也随之变多。寒冷天气是影响包括脑出血在内的心脑血管疾病的患病率和死亡率的重要危险因素。
脑出血是指非外伤性脑实质内血管破裂引起的出血,多发生在40~70岁人群,其中50岁以上发病率最高。但近年来,由于饮食不良、烟酒无度、压力过大等多种原因,脑出血呈现年轻化趋势。
脑出血急性发作时,要牢记“就地处理,就近治疗,减少颠簸,密切观察”的原则:1.尽量减少搬动,不要猛烈摇晃患者,也不要情绪激动地大声叫喊,应让患者平卧,头歪向一侧,松解患者的衣领,留心并清除患者口中的呕吐物,以防堵塞呼吸道窒息而亡。2.同时要拨打急救电话,尽快到最近的医院救治。需要提醒的是,有些患者会选择自行前往医院,认为更节省时间,但普通交通工具缺少急救设备,路上若突发意外难以应对。
责编:苗露