速豹新闻网淄博讯(记者 苗露 通讯员 于雪松)医生、医生,快 快!12月10日晚,一群人簇拥着轮椅上的病人冲进了世博高新医院急诊临
2022-12-14速豹新闻网淄博讯(记者 苗露 通讯员 于雪松)12月9日,世博高新医院联合淄博中心血站开展挽袖接力 让血液连接你我无偿献血活动进一步
2022-12-14速豹新闻网淄博讯(记者 苗露 通讯员 于雪松)为进一步提升医务人员沟通能力,构建和谐医患关系,扩大医患交流平台,12月8日,世博高新
2022-12-14速豹新闻网淄博讯(记者 苗露 通讯员 于雪松)为提高广大医护人员消防安全意识,有效提升防火、疏散、自救、宣传等能力,推进119消防安
2022-12-01速豹新闻网淄博讯(记者 苗露 通讯员 于雪松)11月28日,世博高新医院发布告患者书,称该院病房及部分重点区域实行封闭管理。《告患者书
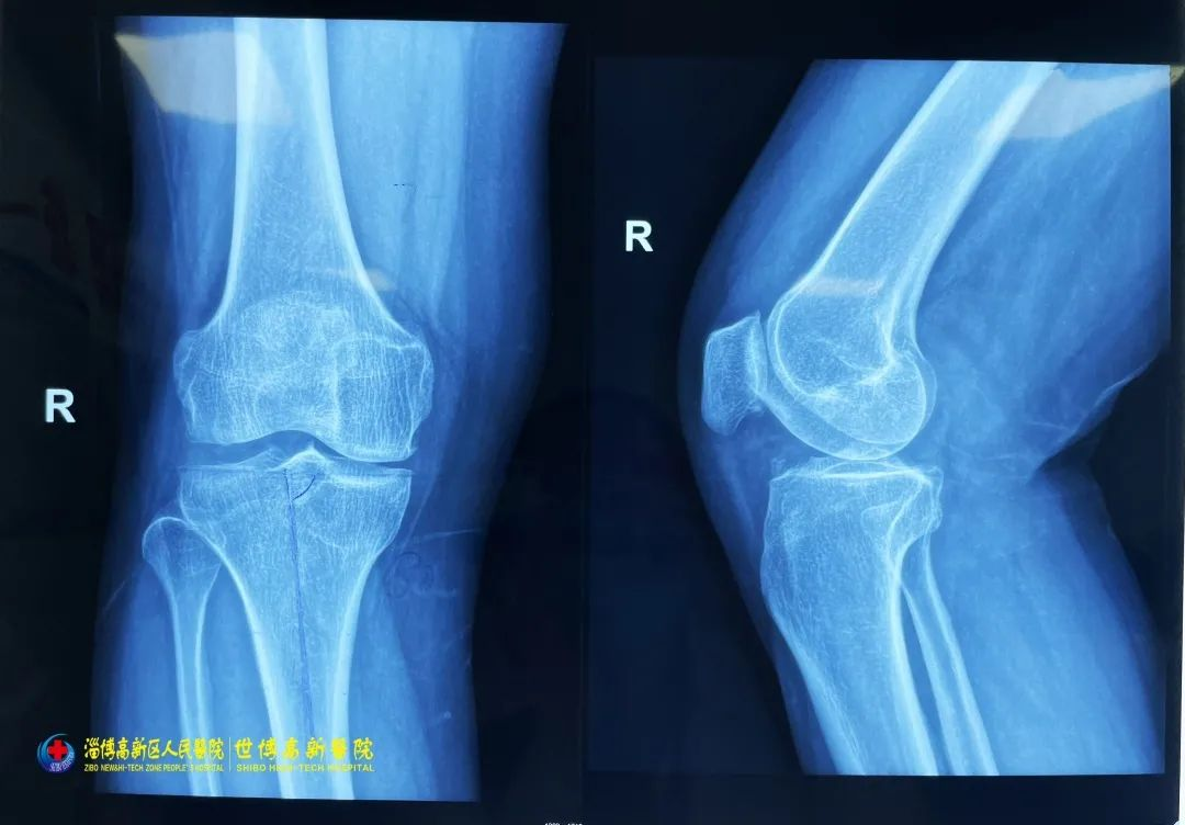
2022-12-01速豹新闻网淄博讯(记者 苗露 通讯员 于雪松)有人被砸伤了,快帮忙呼叫救援!21日下午,淄博高新区某建筑工地内一名工人不慎被重物砸伤
2022-12-01速豹新闻网淄博讯(记者 苗露 通讯员 于雪松)为探索构建科学合理的职业病医疗服务体系,促进职业病防治卫生事业的发展,保护淄博市广大
2022-11-17速豹新闻网淄博讯(记者 苗露 沙婷婷 通讯员 刘宝)11月11日上午,张店区卫生应急作业中心揭牌仪式在区疾控中心举办。淄博市人民政府副
2022-11-11山东省淄博市华夏孝之源智慧居家养老服务有限公司(以下简称孝之源)结合十余年居家和社区养老服务经验,努力打造三五七智慧居家养老服务新模
2022-10-28速豹新闻网淄博讯(记者 苗露 通讯员 于雪松)10月20日,共青团淄博世博高新医院委员会成立大会暨第一次团员代表大会隆重召开。据悉,为
2022-10-20速豹新闻网淄博讯(记者 苗露 通讯员 于雪松)五年,对于世博人意味着什么?2013年10月12日,世博高新医院在花山脚下破土萌芽;2017年10
2022-10-18安贞医院多位心血管专家将于9月21日(周三)下午、22日(周四)上午到世博高新医院坐诊、手术,望广大患者提前预约挂号。挂号费:100元(结
2022-09-20速豹新闻网淄博讯(记者 苗露 通讯员 于雪松)为进一步提高医院医务人员病人意识、急诊意识、急救意识,强化院前急救、院内抢救、ICU救
2022-09-20速豹新闻网淄博讯(记者 苗露 沙婷婷 特约记者 闫盛霆)9月15日,淄博市潍淄医院医生正在淄川区太河镇下端士村给村民进行义诊。当日,
2022-09-16速豹新闻网淄博讯(记者 苗露 通讯员 于雪松)52岁、51岁、80岁……上个月,短短不到一天时间就有3名胸痛患者就诊于世博高新医院,均诊
2022-09-14