为进一步加强医院管理,促进科室管理科学化、标准化、规范化,保障医疗、护理服务质量和医疗、护理安全,增强患者的满意度,3月29日,世博
2023-04-04速豹新闻网淄博讯(记者 苗露 通讯员 于雪松)为进一步提升护理人员人文素质,深化护理服务内涵,改善服务质量,为患者创建和谐文明就医
2023-03-27为严格落实2023年医院全面品质提升工作要求,切实加强医院管理,不断提升患者满意度,加强临床科室与职能科室之间的沟通、协调。3月22日下
2023-03-27速豹新闻网淄博讯(记者 苗露通讯员 于雪松)为进一步提高群众健康和自我保健意识,让群众享受到更加贴心、周到、便利化的服务,3月21日
2023-03-27速豹新闻网淄博讯(记者 苗露 通讯员李泽玺)为有效控制结核病,增强防病意识和防病能力,提高群众结核病防治知识,3月24日,世博高新医
2023-03-27
速豹新闻网淄博讯(记者 苗露 通讯员 于雪松)3月18日,山东省卒中防治中心单位揭牌仪式暨318 爱肝护肝十日行活动启动仪式在淄博世博
2023-03-18
速豹新闻网淄博讯(记者 苗露 通讯员 于雪松)春风有情常拂面,巾帼花开别样红。为庆祝三八国际妇女节,3月8日,世博高新医院举办了世博
2023-03-10
为积极响应高新区学雷锋志愿服务月活动,进一步弘扬雷锋精神和团结 务实 拼搏 奉献的世博精神,发挥共青团主力军作用,切实展现新时代奉
2023-03-06刘志福:主任医师,现任世博医院副院长,心内科名誉主任。省千佛山医院保健心内二科原主任,山东大学医学院教授,硕士研究生导师,省内著名
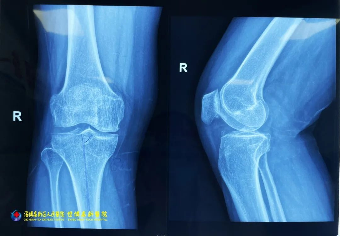
2023-03-06近日,淄博世博高新医院收治了一名膝关节病(右侧)患者,并为其成功进行右膝人工关节表面置换术,手术过程顺利,术后治疗、护理及时、个性、
2023-03-06
速豹新闻网淄博讯(记者 苗露 通讯员 于雪松)3月1日,淄博世博高新医院开展院长行政查房,本次查房走进骨一科、骨二科、骨三科三个科室
2023-03-06近些年来,随着交通工具的发展,以及高速路的建设,因车祸导致颈椎骨折腰段骨折等情况也与日俱增。由于颈椎骨折是可以引起严重的四肢瘫痪,
2023-03-01
速豹新闻网淄博讯(记者 苗露 通讯员 于雪松)为进一步提升社区居民的健康理念,树立健康意识、宣传健康知识、倡导健康行为,2月21日,
2023-03-01
速豹新闻网淄博讯(记者 苗露 通讯员 于雪松)为提升广大妇女健康水平,增强健康管理意识,推广普及应急救护常识,2月21日,世博高新医
2023-03-01
速豹新闻网淄博讯(记者 苗露 通讯员 于雪松)2月24日,世博高新医院儿科的医务人员走进淄博高新区大河南村幼儿园及卫固幼儿园开展爱心
2023-03-01